Clinical Case Studies
View our comprehensive collection of endodontic treatment outcomes and procedures
Clinical Content Advisory
The clinical images below are intended for dental professionals to illustrate treatment procedures and outcomes.
Some viewers may find these images disturbing. Caution is advised.
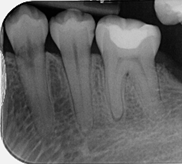
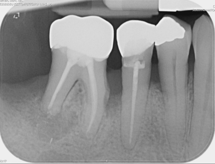
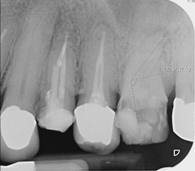
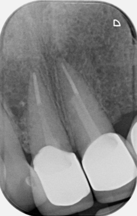
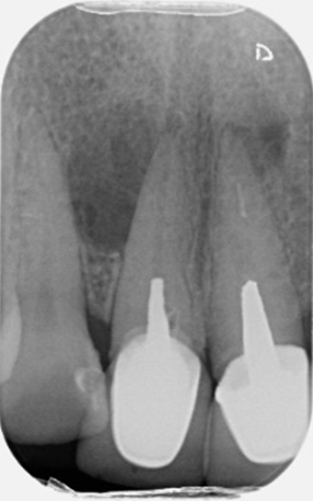
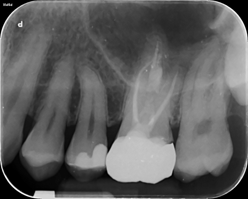
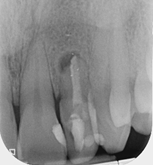
UL2: Root canal retreatment of open apex
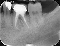
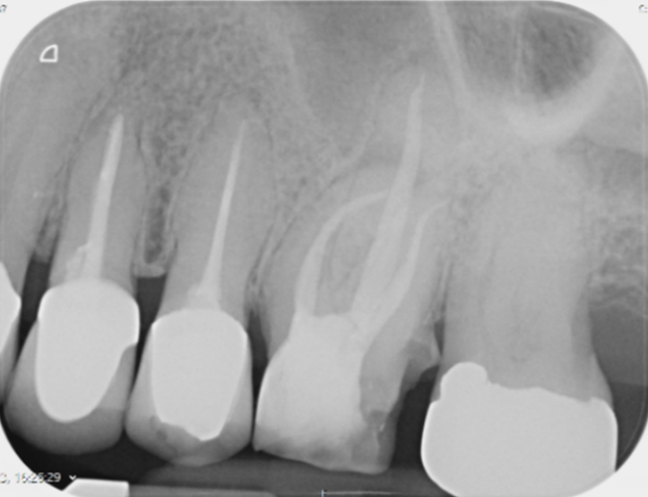
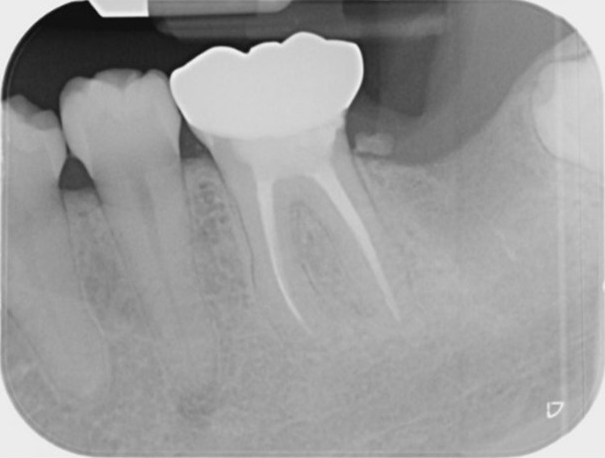
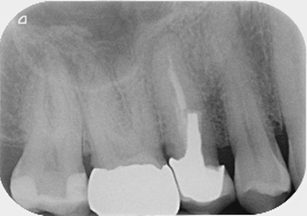
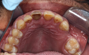
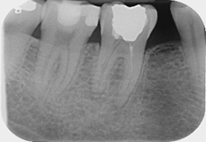
LR6: Root canal retreatment & internal root resorption management and cuspal coverage
Post Removal
12-Month Healing
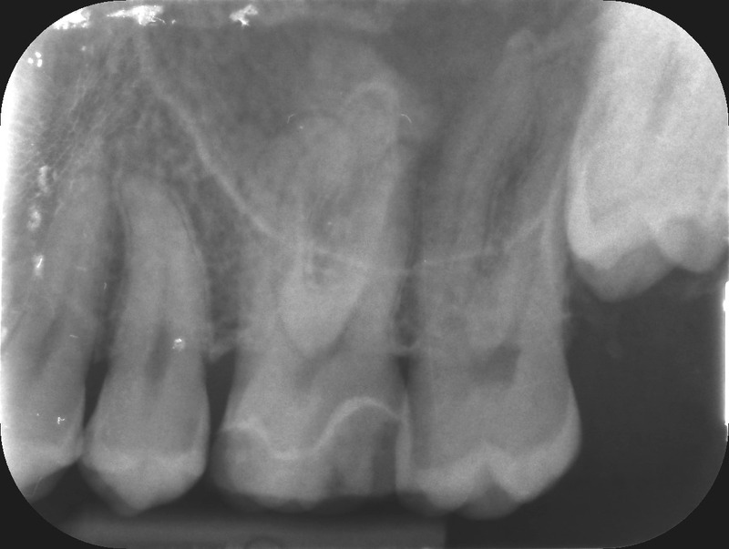
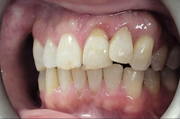
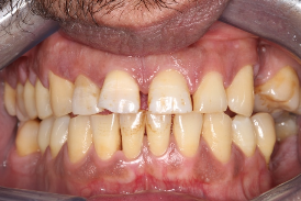
Dental trauma management
Pre-operative photo and X-ray
6 month review
Surgical management of external cervical resorption lesion
Pre-op X-ray
Procedure Photos
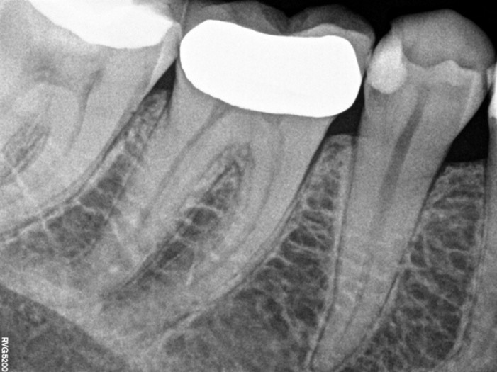
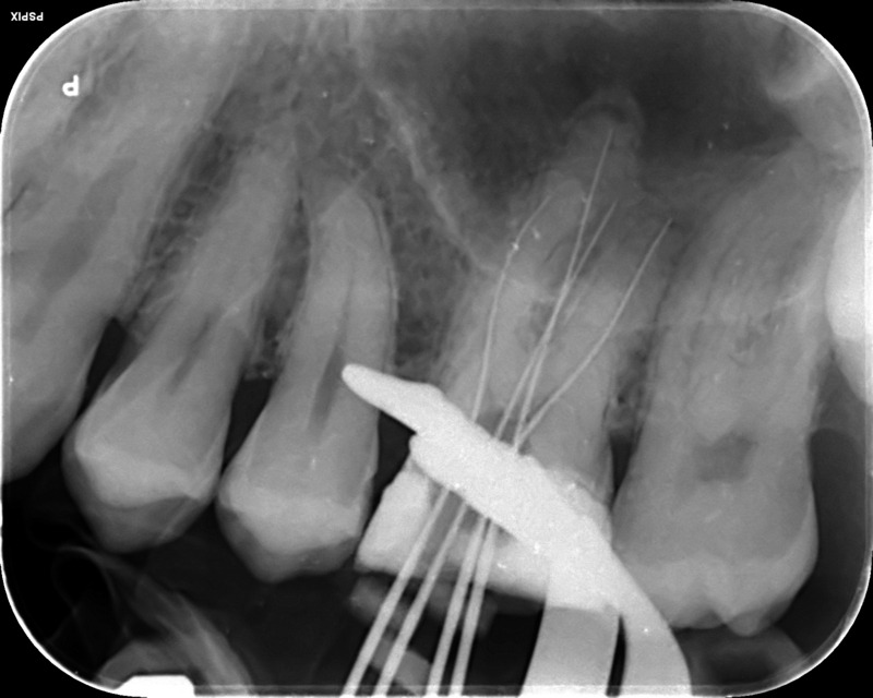
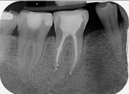
Fractured file removal and re-rct
Pre-op
Retrieved file
12 month review
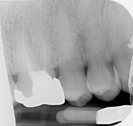
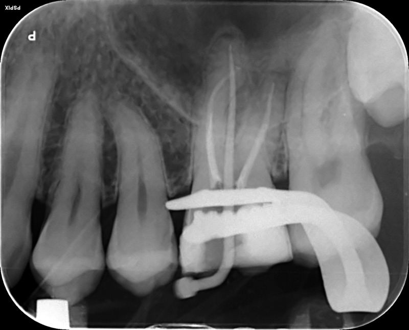
Root canal retreatment and bypass of separated instrument
Pre-op
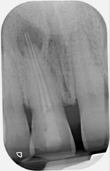
12 month review demonstrating healing
Molar apicectomy
Pre-op
Removed granulation tissue
Review radiograph demonstrating healing
UL6 Internal inflammatory resorption perforating palatal root. Repaired with MTA.
12 month review (crown carried out by GDP)
Internal resorption management
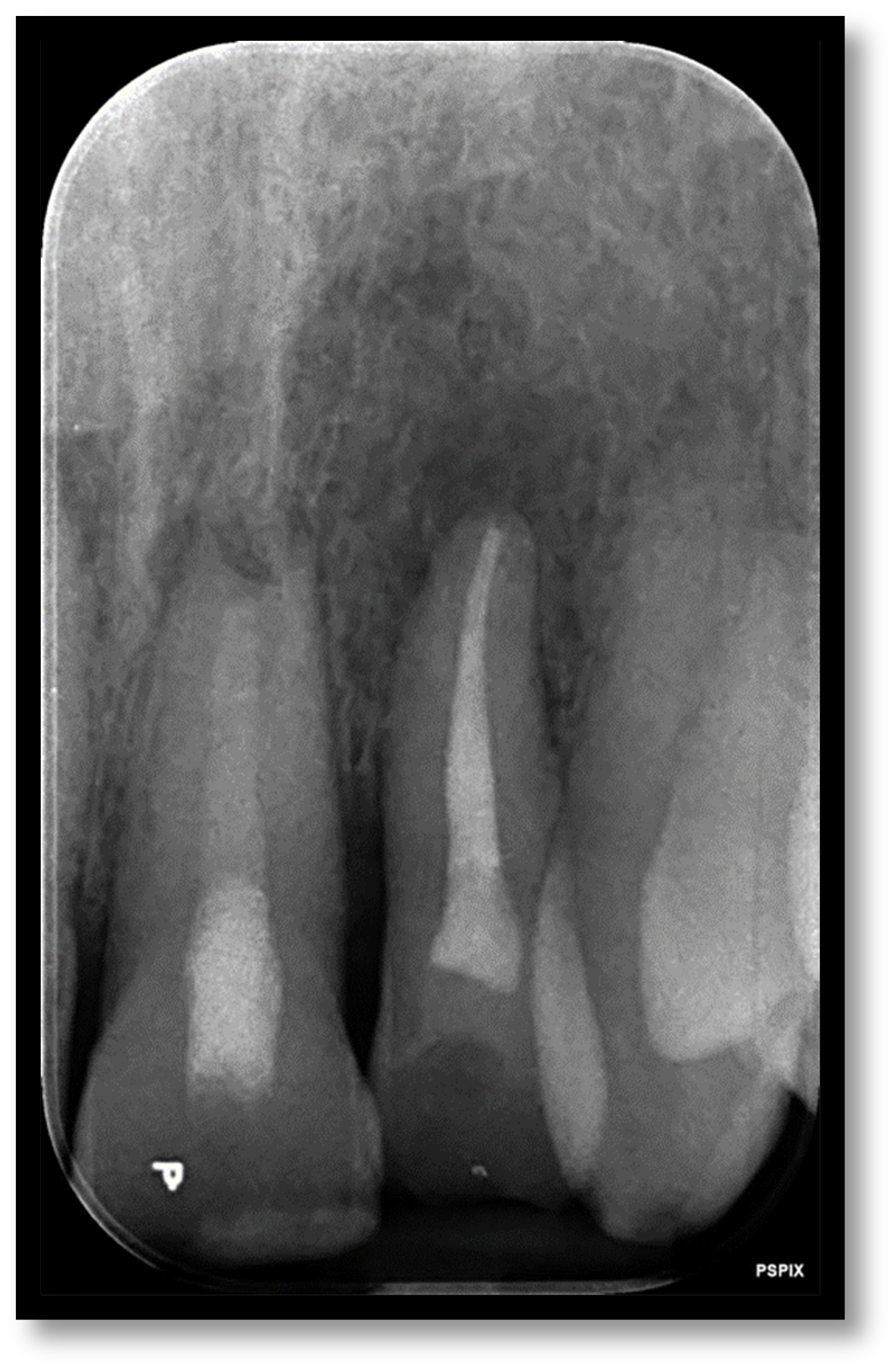
Open/Immature apex management and internal whitening
Pre-op
Procedure Photos
Multi-disciplinary: root canal treatment, molar apicectomy and bone regeneration
Pre-operative X-ray
Post-operative X-ray
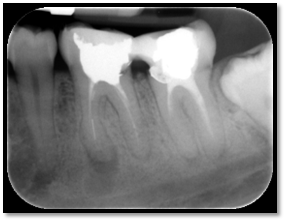
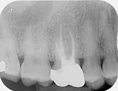
Molar endodontics
Pre-operative
Post-operative